Advanced Root Canal Treatment

Advanced Root Canal Treatment in Trivandrum Fast, Precise & Painless
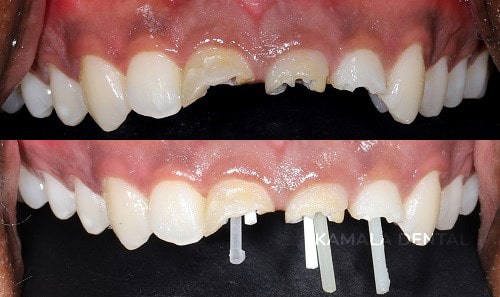
When deep decay or damage reaches the pulp of a tooth, advanced root canal treatment is often essential - not just to relieve pain, but to restore function and preserve your natural tooth. At Kamala Dental in Thiruvananthapuram, we combine the latest diagnostic tools, magnification, and laser technology to deliver root canal therapy with comfort and high success rates.
Why Choose Our Root Canal Services
- We use 3D imaging (CBCT) and digital radiographs to map out root canals with precision, detect complex anatomy, and plan treatment accurately.
- Microscope-aided visualization ensures accurate treatment of all canals, even in teeth with multiple or curved roots.
- Our facility is equipped with premium lasers for disinfection of hard-to-reach areas, reducing bacterial load and improving healing.


Single-Visit RCT: Get It Done in One Appointment
Busy schedule? Our experienced endodontists evaluate whether your tooth can be treated in a single-visit root canal procedure. If so, you can walk in, receive treatment, and walk out avoiding multiple visits. After the procedure, a crown or bridge is placed to protect and restore your tooth’s strength and appearance.
What to Expect During Treatment
- Comprehensive Assessment - We begin with digital radiographs and 3D scans to understand the tooth’s internal structure and infection extent.
- Pain Control & Comfort Measures - Local anesthesia and conscious sedation are administered to ensure a relaxed, pain-free treatment experience.
- Cleaning & Shaping Canals - Using magnification and modern tools, canals are cleaned, shaped, disinfected, and filled.
- Restoration & Follow-Up - After filling, a permanent crown or restoration is placed. Post-treatment care instructions and follow-up visits ensure proper healing and long-term success.
When is Root Canal Treatment done?
This treatment may be indicated if you have:
- Severe toothache caused by deep decay or infection
- Swelling, gum tenderness, sensitivity, or abscess formation
- A fractured tooth with exposed pulp
- A tooth that requires restoration with a crown or bridge
A detailed clinical examination is necessary to determine whether root canal treatment is required.

Schedule Your RCT Consultation
Don’t wait until the pain worsens or infection spreads. Kamala Dental Super Speciality Hospital offers advanced, expert root canal solutions in Trivandrum. Contact us today to assess your tooth and start treatment that’s tailored for comfort, durability, and long-lasting oral health.















