Digital Radiographs

Digital Radiographs at Kamala Dental Faster, Safer, Clearer Imaging
At Kamala Dental Super Speciality Hospital, Thiruvananthapuram, we use digital radiography (digital X-rays) to provide precise dental imaging with enhanced safety and speed. Unlike traditional film X-rays, digital radiographs allow our team to diagnose and plan treatments more efficiently and comfortably for you.
What Are Digital Radiographs?
Digital radiographs use electronic sensors to capture images of your teeth, roots, jawbones, and surrounding structures. These images appear instantly on our computers - no film development needed.
We use both intraoral and extraoral digital imaging depending on your needs:
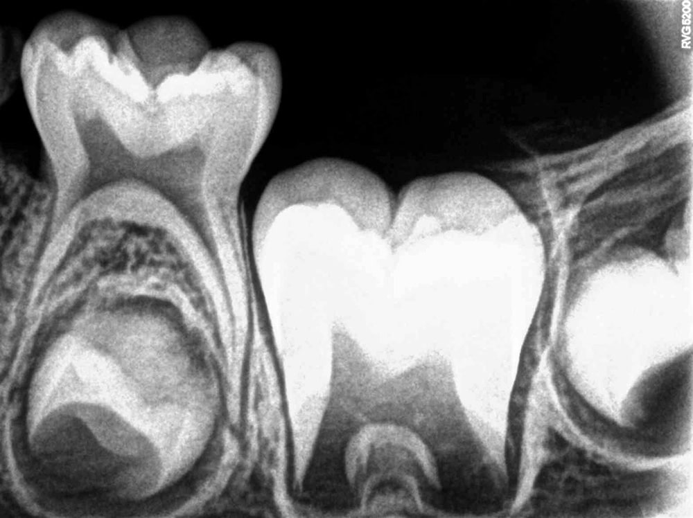
- Intraoral: Bitewing, periapical, occlusal - detailed views inside your mouth
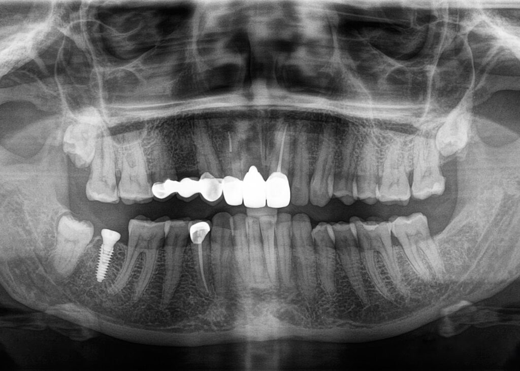
- Extraoral: Panoramic or full-jaw shots as needed


Benefits of Digital Radiography for You
- Lower Radiation Exposure: Digital X-rays use much lesser radiation than traditional film methods.
- Instant Images: No waiting, your dentist can review images immediately and explain findings on the spot.
- Sharper, Adjustable Images: Zoom, enhance contrast, and inspect fine details to catch early issues.
- Better Record Keeping & Sharing: Digital files are easily stored, retrieved, and shared with specialists as needed.
- Eco-Friendly & Clean: No chemical developers, no film waste - cleaner for you and the environment.
How We Use Digital Radiographs in Treatment
We use digital radiographs for:
- Detecting and analyzing cavities, especially between teeth
- Evaluating bone loss or gum disease
- Locating hidden (impacted) or remaining teeth
- Planning implants, root canals, or extractions
- Monitoring healing after surgery or treatment
- Tracking structural changes over time
Digital images help us spot issues early, before they become serious.


What to Expect During the Intraoral Xray imaging
- A sensor is gently placed inside or near your mouth
- You’ll be asked to stay still for a moment
- The sensor captures the X-ray and sends it to our computer instantly
- Your dentist reviews and discusses the images with you
It’s quick, comfortable, and safe.
Why Kamala Dental’s Imaging Stands Out
- In-house digital radiography - no need to visit external imaging centers
- Advanced sensors and software for clearer diagnostics
- Experienced dentists interpreting images for accurate treatment plans
- Integrated with our digital record system for seamless care


For precise, safe, and fast dental imaging, contact Kamala Dental Super Speciality Hospital in Thiruvananthapuram to schedule your next visit - where modern radiography meets compassionate care.















