Pediatric Dental Care

Pediatric Dental Care in Thiruvananthapuram Gentle Care for Growing Smiles
We understand that taking your child to the dentist isn’t always easy. That’s why our child-friendly environment is designed to make every visit comfortable, positive, and fun—helping your little one look forward to their next appointment.
According to the latest American Academy of Pediatric Dentistry guidelines, children should visit the dentist when their first tooth appears (around 6 months) or by their first birthday. Early dental visits help build good oral care habits, promote preventive care, and reduce the risk of tooth decay from the very start.
Importance of Baby Teeth
Children usually begin to get their baby teeth within the first 6 months of life. By around 6 to 7 years, they start losing these primary teeth, which are gradually replaced by permanent teeth. Between 6 and 12 years, children have a mixed dentition - a combination of baby and permanent teeth.
Although milk teeth eventually fall out, decay or damage in them should never be ignored. Untreated infections can spread and affect the developing permanent teeth inside the bone. It’s also important to retain the primary molars (back teeth) until around 10–12 years of age, as they help guide the proper eruption and alignment of permanent teeth.


What Pediatric Dental Care Covers
- Preventive Dental Care: Emphasis on preventive dentistry through fluoride treatments to strengthen enamel and protect against tooth decay.
- Rampant Caries Management: Specialized care for nursing bottle caries, ensuring early intervention and preservation of tooth structure.
- Pulpectomy & Pulpotomy: Conservative procedures to manage deeply decayed teeth, maintaining the health and function of primary teeth.
- Preformed & Customized Crowns: Use of stainless-steel crowns for posterior milk teeth, strip crowns for anterior milk teeth, and tooth-colored 3D-printed crowns for customized, aesthetic restoration.
- Space Maintainers: Provided when milk teeth are lost prematurely to preserve the space for proper eruption of permanent teeth.
- Habit Breakers: Custom appliances used to correct thumb sucking, tongue thrusting, and mouth breathing habits, helping prevent future misalignment of permanent teeth.

Preformed & Customized Crowns
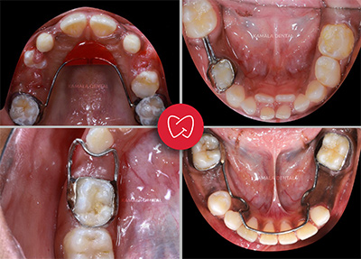
Space Maintainers
Habit Breakers
Why Choose Kamala Dental for Your Child’s Teeth
- Specialized Pediatric Dentists: Our dentists are trained in child psychology and behavior management to ensure comfortable, stress-free visits.
- Child-Friendly Environment: Warm, colorful surroundings and friendly staff make every visit enjoyable rather than intimidating.
- Gentle, Age-Appropriate Care: We use child-specific tools and techniques designed to provide safe, gentle treatment for little patients.
- Advanced Facilities & Conscious Sedation: Equipped with state-of-the-art dental technology and options for conscious sedation, we ensure safe, comfortable care even for anxious or special-needs children.
- Preventive Focus: Emphasis on early intervention, regular checkups, and habit counseling to prevent future dental problems and promote lifelong oral health.


What to Expect During a Visit
- Warm Welcome & Dental Checkup: Comprehensive evaluation of teeth, gums, and jaw to identify any early concerns.
- Gentle Cleaning & Fluoride Application: Professional cleaning and polishing with gentle care, including fluoride treatment when needed to prevent decay.
- Habit Assessment & Guidance: Identification and management of thumb sucking, nail-biting, or other habits that may affect oral development.
- Personalized Treatment Planning: Planning and provision of fillings, sealants, or restorations as required for optimal oral health.
- Parental Counseling: Guidance on brushing techniques, diet, and what to expect as your child’s adult teeth begin to emerge.
When Should a Child First Visit the Dentist?
Experts recommend that children see a pediatric dentist by their first birthday or within six months after the first tooth erupts. Regular checkups (typically every six months) help maintain oral health and catch problems early before they become more complex.
Book Your Child’s Dental Appointment
If you want gentle, thorough care for your child’s smile, Kamala Dental in Thiruvananthapuram is here to help. Book a pediatric dental consultation today so your child can begin their journey to healthy, happy teeth.

















