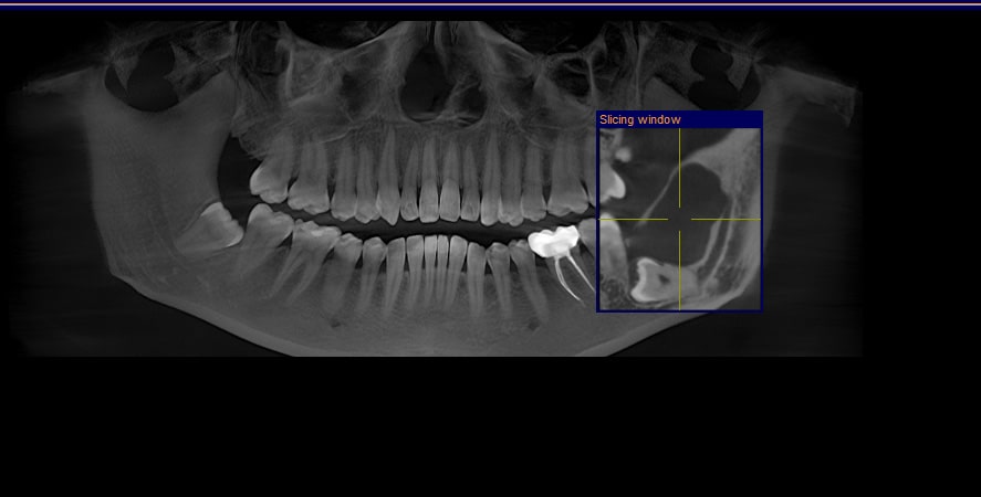
CBCT- 3D Scan

CBCT & 3D Scans in Thiruvananthapuram Precise Imaging for Better Treatment
At Kamala Dental Super Speciality Hospital, Thiruvananthapuram, we utilize advanced Cone Beam Computed Tomography (CBCT) and 3D scanning technologies to obtain highly detailed images of your teeth, jaws, nerves, and surrounding structures. These cutting-edge tools empower our team to diagnose more accurately and plan treatments with greater precision - giving you safer, more predictable outcomes.
Why 3D & CBCT Imaging Matters
- Detailed, Clear Views: CBCT produces 3D images of bone anatomy, root canals, jaw joints, sinuses, and nerve pathways - far more informative than traditional 2D X-rays.
- Accurate Diagnosis: Detect hidden problems such as impacted teeth, root fractures, infections, and bone defects early.
- Personalized Treatment Planning: Create precise surgical guides, implant placements, and orthodontic strategies based on your unique anatomy.
- Lower Radiation Dose: Compared to conventional CT, CBCT uses reduced radiation while still delivering high-resolution images.
- Improved Safety & Predictability: With complete anatomical information, the risk of complications is minimized.


What We Can Do With CBCT / 3D Scans
- Dental implant planning & placement
- Assessment of bone density and structure
- Evaluation of impacted or extra teeth
- Diagnosis of root canal anatomy & complex endodontic cases
- TMJ and jaw joint analysis
- Surgical planning for extractions, bone grafts, and sinus lifts
- Orthodontic treatment analysis & simulation
Why Choose Kamala Dental for 3D Imaging
- State-of-the-Art Technology: We have the latest Dentsply Sirona Othophos SL 3D CBCT scanners and intraoral 3D imaging systems in-house.
- Fast, Comfortable Process: Quick, non-invasive scans - minimal discomfort, no need for contrast agents.
- Onsite Capabilities: Eliminates the need to visit external imaging centers - we handle everything under one roof.
- Expert Interpretation: Our experienced dentists and specialists analyze the scans for accurate diagnosis and implant or surgery planning.
What to Expect During a CBCT / 3D Scan Visit
- Preparation & Positioning: You’re comfortably positioned, and a small guidance frame or marker may be used.
- Scanning Process: The scanner rotates around your head, capturing multiple images - the procedure takes about 10–20 seconds.
- 3D Reconstruction: Software assembles images into a precise 3D model of your oral structures.
- Review & Consultation: Your dentist reviews the images with you, explaining the findings and proposed treatment plan.


Benefits to You - Our Patient Promise
- More confident diagnoses and treatment plans
- Safer treatment with clear anatomical mapping
- Less discomfort, fewer visits, and better outcomes
Contact Kamala Dental Super Speciality Hospital in Thiruvananthapuram to schedule your CBCT / 3D scan consultation. Let us help you move forward with clarity and confidence.















