Clear Aligners

Clear Aligners in Thiruvananthapuram Straighten Your Smile Without Braces
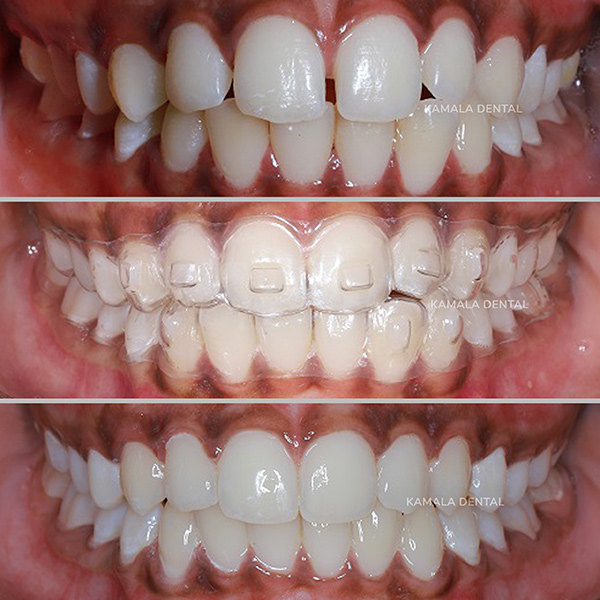
Want a straighter smile without metal braces? At Kamala Dental Super Speciality Hospital in Trivandrum, we offer clear aligner therapy with Invisalign that gently and discreetly straightens your teeth. Suitable for both adults and growing smiles, our custom-made, nearly invisible aligners provide a comfortable and convenient way to achieve perfectly aligned teeth.
What Are Clear Aligners?
Clear aligners consist of a series of custom-fitted, transparent plastic trays that gradually shift your teeth into the desired position. Unlike traditional braces, they’re removable, so you can easily eat, brush, and floss, while still providing effective orthodontic results in mild to moderate cases.
Why Choose Kamala Dental for Invisalign in Trivandrum?
The Best Invisalign Treatment in Trivandrum – Our clear aligner patients’ results reflect our proven expertise and successful track record.
Benefits of Clear Aligners:
- Aesthetically pleasing – Nearly invisible trays let you smile confidently throughout treatment.
- Comfort & convenience – No wires or brackets to irritate your lips or cheeks.
- Precise, personalized planning – Digital scans and simulations create a treatment path tailored to your teeth.
- Fewer clinic visits – Patients wear pre-planned aligner sets on schedule, minimizing appointments.
- Removable & flexible – Eat, brush, and floss freely without restrictions.


How the Treatment Works
- Consultation & Digital Scans: We take 3D scans and conduct a feasibility study to determine if clear aligners are suitable.
- Treatment Planning: A virtual simulation shows you the step-by-step movement of your teeth.
- Fabrication & Delivery: Custom aligners are made and delivered; you wear each tray for about two weeks.
- Periodic Check-Ups: We monitor your progress and make adjustments if needed until the final alignment is achieved.
Is Clear Aligner Therapy Right for You?
Clear aligners are ideal for correcting issues like mild crowding, spacing, mild tooth rotation, or alignment adjustments. During your consultation, we’ll assess whether your case can be handled with aligners or whether traditional braces or a hybrid approach is more suitable.
Begin Your Aligners Journey Today
Contact Kamala Dental to schedule an appointment to get the best clear aligner treatment in Trivandrum. Let us help you plan your path to the smile you’ve always wanted.

















