Tooth Extraction

Tooth Extraction in Thiruvananthapuram Safe, Gentle Teeth Removal You Can Trust
At Kamala Dental Super Speciality Hospital, we understand that tooth extraction can be intimidating. Our goal is to make the process as comfortable, safe, and minimally traumatic as possible. Whether due to decay, impaction, or preparation for implant treatment, we provide expert extraction services for patients in Trivandrum and beyond.
When Is Tooth Extraction Necessary?
We may recommend extraction when:
- A tooth is severely decayed or damaged beyond repair
- An impacted wisdom tooth causes pain or crowding
- Orthodontic treatment requires removal of select teeth
- Infection or abscess cannot be resolved otherwise
- Teeth are non-restorable or affecting adjacent teeth
- Teeth are loose, etc.
Our Advanced Extraction Process
Comprehensive Assessment & Imaging
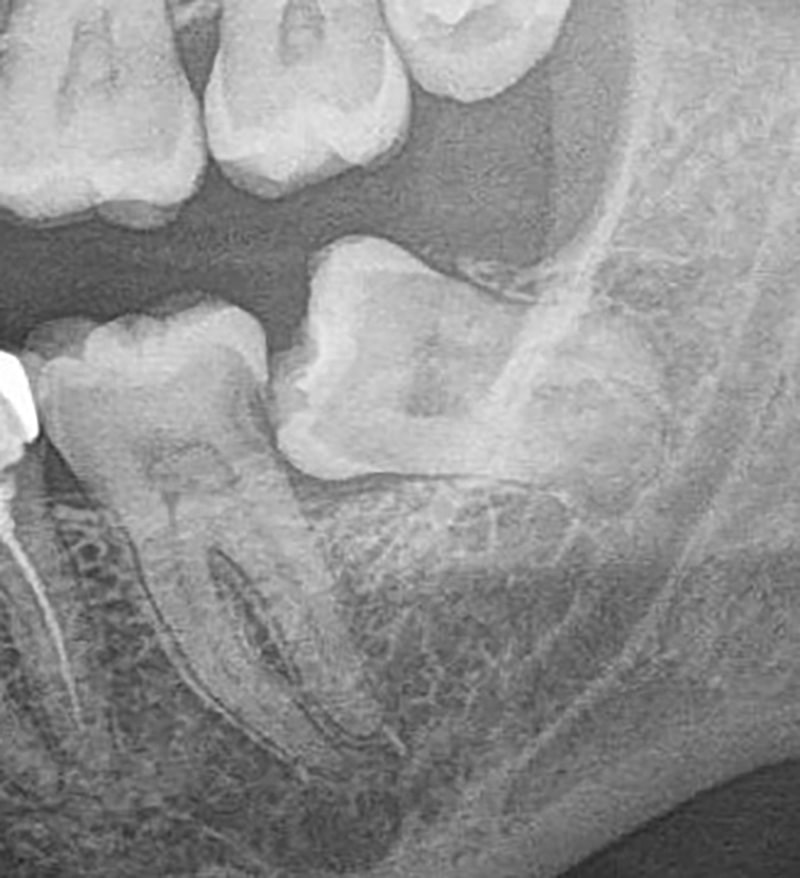
Before extraction, we evaluate your oral health using digital X-rays or CBCT scans to assess root structure and bone support.
Local Anesthesia & Comfort Measures
We use modern techniques and conscious sedation (if requested) to ensure you feel relaxed and pain-free throughout the procedure.
Minimally Invasive Surgical Techniques
When possible, we perform atraumatic extractions that preserve surrounding bone and soft tissue, helpful for future implants or prosthetics.
Post-Extraction Care & Healing
You’ll receive detailed aftercare instructions, including diet, oral hygiene, pain management, and follow-up appointments to monitor healing.


Why Choose Kamala Dental for Extractions?
- Team of expert dentists led by Dr. Segin Chandran, an oral and maxillofacial surgeon with over 26 years experience.
- Gentle, tissue-preserving methods to reduce discomfort
- Full support for subsequent restorative treatment (e.g., implants)
- Conscious sedation to ease anxiety
- Trusted by local and international patients seeking reliable care
Book Your Consultation
Need a tooth removed or an impacted wisdom tooth evaluated? Contact Kamala Dental Super Speciality Hospital in Thiruvananthapuram today to schedule a consultation. We’ll provide a thorough assessment and treatment plan personalized to your needs.


















