Tooth Coloured Fillings

Tooth-Coloured Fillings in Thiruvananthapuram Enhance Your Smile Naturally at Kamala Dental
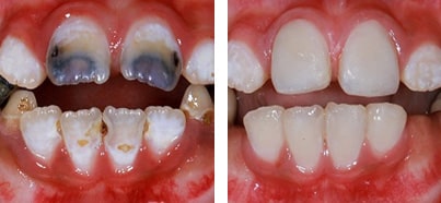
What Are Tooth-Coloured Fillings?
Tooth-coloured fillings are modern, aesthetic restorations made from composite resins that blend seamlessly with your natural tooth colour. Unlike traditional silver amalgam fillings, these fillings are designed to be virtually invisible, ensuring your smile remains beautiful and confident.
Why Choose Tooth-Coloured Fillings?
- Natural Appearance: The composite material mimics the translucency and shade of natural teeth, making the filling indistinguishable from your original tooth.
- Conservative Treatment: These fillings bond directly to the tooth structure, requiring less removal of healthy tooth tissue compared to amalgam fillings.
- Durability: With proper care, tooth-coloured fillings are long-lasting and can withstand the pressures of daily chewing and biting.
- Uses: Ideal for treating cavities, and for closing gaps between teeth.
Why Kamala Dental?
At Kamala Dental Super Speciality Hospital in Thiruvananthapuram, we prioritize both aesthetics and functionality in our dental restorations. Our experienced dentists use high-quality composite materials and advanced techniques to ensure optimal results. We are committed to preserving your natural tooth structure while providing durable and aesthetically pleasing fillings. Kamala Dental Super Speciality Hospital is conveniently located in the heart of Thiruvananthapuram, making it easily accessible for all residents. Our clinic is equipped with state-of-the-art facilities to provide the best care for our patients.

Ready to Restore Your Smile?
Contact Kamala Dental today to schedule your consultation and learn more about how tooth-coloured fillings can enhance your smile.















