TM Joint Treatments

TM Joint Treatments in Thiruvananthapuram Relief from Jaw Pain & Dysfunction
Temporomandibular Joint (TMJ) disorders can cause jaw pain, clicking sounds, limited movement, headaches, and difficulty eating. At Kamala Dental Super Speciality Hospital in Thiruvananthapuram, our team of dentists, led by Dr. Segin Chandran, an Oral and Maxillofacial Surgeon, provides personalized surgical and non-surgical TMJ treatments to restore function, comfort and proper jaw alignment.
What Causes TMJ Problems?
- Misaligned bite or dental occlusion issues
- Teeth grinding (bruxism) or chronic clenching
- Trauma or injury to the jaw joint
- Arthritis or degenerative joint changes
- Poor posture, stress, or muscular tension
- Wisdom teeth or other structural issues affecting jaw movement



Treatment Options We Provide
We assess each case and create a treatment plan based on severity, underlying causes, and patient goals. Treatment options include:
- Conservative Therapies: Pain management with NSAIDs or muscle relaxants, along with the use of ice or heat packs and guided jaw exercises to improve range of motion.
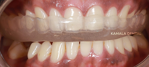
- Occlusal Splints & Night Guards: Custom-made removable appliances designed to reduce stress on the TMJ, correct bite interferences, and protect teeth from grinding-related damage.
- Injections & Joint Washes: Medicated injections or joint lavage (washing) help reduce inflammation, relieve pain, and remove debris from the joint space.
- Orthodontic / Dental Interventions: Correction of bite discrepancies, realignment of teeth, or adjustment of dental restorations contributing to TMJ dysfunction.
- Surgical Correction: For complex or structural joint disorders, procedures such as arthroscopy, joint reconstruction, or open joint surgery are performed with precision using advanced digital planning protocols.
- Total joint replacement: A surgical solution to restore movement and function in fused or ankylosed jaws, using custom-designed artificial joints.
Why Choose Kamala Dental for Your TMJ Care
Advanced diagnostic tools (3D imaging, TMJ Radiographs, digital bite analysis) to accurately identify the source of TMJ dysfunction.
Multidisciplinary care: Dentistry, orthodontics, surgery as needed for full spectrum treatment.
Minimally invasive and conservative approaches are preferred to reduce recovery time and risks.
Experience in planning surgical and non-surgical TMJ corrections with high precision.
Care tailored to both Indian and international patients.


What to Expect During Treatment
- Initial Assessment & Imaging: Detailed exam and scans to evaluate jaw joints, teeth alignment, and muscle involvement.
- Treatment Planning: Discussion of non-surgical vs surgical options depending on diagnosis.
- Therapeutic Treatment: Could include splints, injections, exercises, or minor dental corrections.
- Surgical Intervention (if necessary): For structural abnormalities or when conservative options are insufficient.
- Follow-Up & Maintenance: Monitoring progress, adjusting appliances, ensuring pain relief and improved function.
Book Your TMJ Consultation
If you’re experiencing jaw pain, clicking, difficulty opening your mouth, or frequent headaches, don’t delay seeking care. Early diagnosis can prevent the condition from worsening. Contact Kamala Dental Super Speciality Hospital to schedule your appointment for the best TMJ treatment in Thiruvananthapuram. We’re committed to helping you restore comfort, function, and peace of mind.
















