
Looking after your teeth and gums is more than just a cosmetic concern – it’s a crucial part of your overall health. While regular dental check-ups are advised, there are times when you need to take the initiative and not wait for your next appointment. Some dental issues require immediate attention to prevent them from developing into more serious problems. If you’re considering a visit to a dentist in Trivandrum, here are the top signs you should be looking for.
1. Persistent Tooth Pain

If you have a toothache that won’t quit, it’s time to call a dental clinic in Trivandrum. Persistent pain could be a sign of cavities, infections, or other issues that only get worse without treatment. Tooth pain might start as a mild annoyance, but if left untreated, it can lead to severe conditions like abscesses or even tooth loss. Don’t wait – get checked by the best dentist in Trivandrum to find the root cause and experience the relief that immediate care can bring.
2. Swelling or Inflammation in the Gums
Swollen or inflamed gums often signal gum disease or an infection. If you’re experiencing tenderness, bleeding, or swelling in your gums, it’s best to seek help from a trusted dentist in Trivandrum. With its team of expert professionals, Kamala Dental Hospital provides thorough diagnosis and treatment options for gum issues, ensuring you get the care you need with confidence.

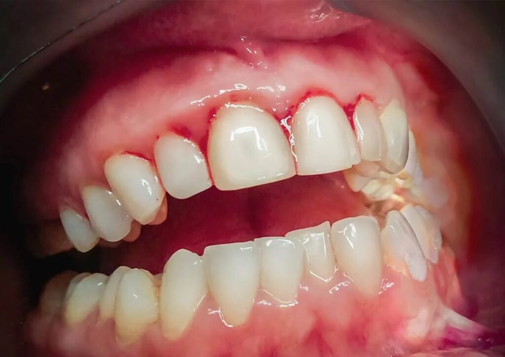
3. Bleeding When Brushing or Flossing
It’s easy to brush off a bit of bleeding, but it’s actually a common sign of gum disease, such as gingivitis or periodontitis. While blaming it on a new toothbrush or flossing technique may be tempting, recurring bleeding isn’t normal. Ignoring this could lead to further complications, so schedule an appointment at the best dental clinic in Trivandrum for a thorough check-up.
4.Persistent Bad Breath or Unusual Taste

Bad breath or an unusual taste in your mouth that doesn’t go away with brushing could point to a bigger problem, such as an infection or gum disease. Kamala Dental Speciality Hospital – the best dentist in Trivandrum can identify whether this is a simple issue or if more serious treatment is needed. We offer comprehensive care to tackle these symptoms before they become significant issues.
5. Loose Teeth in Adults

If you notice any of your teeth feeling loose or wobbly, don’t ignore it! Adult teeth should not feel loose, which could indicate severe gum disease or bone loss around the teeth. A prompt visit to a dental clinic in Trivandrum can help determine the cause and prevent further complications.
6. Missing teeth

Missing teeth can impact more than just your appearance—it can affect how you eat, speak, and feel about yourself. It also leads to jawbone loss, drifting of teeth, and even changes to your facial structure. Fortunately, you have an advanced dental clinic in Trivandrum, Kamala Dental, that offers dental implants, bridges or dentures to solve your concern.
7. Sensitivity to Hot and Cold

When enjoying a hot coffee or ice cream, do you feel a sudden sharp pain? Sensitivity like this can be a sign of enamel erosion, cavities, or even gum recession. If you’re dealing with ongoing sensitivity, book an appointment with us at Kamala Dental Speciality Hospital in Trivandrum. We can assess the cause and recommend effective treatments so you don’t have to suffer every time you eat or drink.
8. Changes in Color or Texture of Teeth or Gums

Healthy teeth are naturally white, and gums should be a lovely shade of pink. It might be a sign of infection or other dental issues if you notice any discolouration, spots, or unusual textures on your teeth or gums. A dental clinic in Trivandrum, such as Kamala Dental Speciality Hospital, can thoroughly examine the cause and offer treatments to restore your smile’s health and appearance.
9. Jaw Pain or Clicking

Jaw pain or a clicking sound when you open or close your mouth may indicate a TMJ (temporomandibular joint) disorder, stress-related grinding, or other issues. If it’s affecting your comfort, don’t wait to get checked out. The best dental clinic in Trivandrum can evaluate your symptoms and suggest ways to manage or treat the condition.
10. Recurring Mouth Sores or Ulcers

Occasional mouth sores can be common, but if you’re getting them often, it might be a sign of an underlying issue. Persistent sores, especially if painful, need attention and now! At Kamala Dental Hospital, we work 7 days a week to ensure you get all the required dental services and support under one roof. We are equipped to diagnose and manage recurrent sores and can recommend treatments for quicker healing and prevention.
11. Changes in Bite or Difficulty Chewing

If your bite feels “off” or you have trouble chewing, something might be wrong with your teeth alignment or jaw. This change could stem from shifting teeth, bone loss, or even infections. Schedule a consultation with a dentist in Trivandrum to investigate any shifts in your bite and ensure your teeth and jaw remain healthy and comfortable.
Final Thoughts: Don’t Delay Dental Care!
If you’re experiencing any of the signs mentioned, seeing a professional at a reliable dental clinic in Trivandrum is a good idea. Remember, early intervention is key. Delaying treatment can lead to more pain, costly procedures, and potential health risks. Kamala Dental Hospital is here to help you manage all your urgent dental needs, empowering you to take control of your oral health.
No matter the issue, addressing dental concerns early on is the best way to keep your smile healthy. So, don’t hesitate to contact us at Kamala Dental Speciality Hospital, the best dentist in Trivandrum today and take the first step towards better oral health.


















