
At Kamala Dental Hospital, we believe age is just a number—but your smile deserves timeless care! As Trivandrum’s trusted partner in senior dental health, we’ve seen firsthand how ageing can bring unique challenges to oral care. Whether it’s dry mouth, gum disease, or denture adjustments, our team, led by Dr. Segin Chandran, is here to help you navigate these hurdles. In this blog, we’ll share practical tips tailored for seniors in Trivandrum, along with insights into why proactive care is essential. Let’s keep those golden-year smiles shining bright.
Why does dental care for seniors matter more than ever?
This should not come as a surprise, but nearly 20% of Kerala’s population is over the age of 60, and Trivandrum is home to a vibrant community of seniors. While ageing brings wisdom, it also increases risks like gum disease, tooth decay, and even oral cancer. Poor oral health doesn’t just affect your smile—it can harm your overall well-being. For instance, gum inflammation has been linked to heart disease, and missing teeth can make eating nutritious Kerala staples, such as fish curry or thoran, a struggle. At Kamala Dental Hospital, we’re committed to helping you maintain healthy teeth and a happier life.
Common Oral Health Challenges for Trivandrum Seniors
- 1. Gum Disease [Periodontitis]
Gum disease is a leading cause of tooth loss in seniors. Plaque buildup, reduced immunity, and conditions such as diabetes can exacerbate inflammation. Regular checkups with the best dentist for the elderly in Trivandrum can catch early signs before they escalate.
- 2. Dry Mouth [Xerostomia]
Many medications can cause dry mouth, which increases the risk of cavities. Hydration and sugar-free gum help, but for stubborn cases, ask Dr. Segin about our specialised dry mouth treatments in Trivandrum.
- 3. Dentures and Implants
Missing teeth? Our dentures and implants for seniors in Trivandrum offer comfortable, natural-looking solutions. Proper care is key—ill-fitting dentures can cause sores or infections.
- 4. Oral Cancer
Seniors are at higher risk. Our painless oral cancer screenings at Kamala Dental take just minutes, providing lifelong peace of mind.
7 Expert Tips for Healthy Smiles amongst Seniors
Tip 1: Never skip regular dental checkups for Seniors
Bi-annual visits allow us to spot issues early. Kamala Dental’s gentle approach puts even the most anxious patients at ease.
Tip 2: Master Brushing and Flossing (Yes, Even with Arthritis!)
Use a soft-bristled brush and fluoride toothpaste. Struggling with grip? Try an electric toothbrush or floss picks.
Tip 3: Fight dry mouth like a pro
Sip water, chew sugar-free candy, or ask us about saliva-boosting treatments.
Tip 4: Pamper your dentures
Remove them nightly, clean with a denture brush, and soak in solution. Visit us annually for adjustments.
Tip 5: Eat like a local hero
Calcium-rich foods, such as spinach, milk, and fish, can help strengthen teeth and promote dental health. Limit sugary snacks.
Tip 6: Ditch tobacco & limit alcohol
Both habits spike oral cancer risks. We offer counselling to help you quit—no judgment, just support.
Tip 7: Stay hydrated, stay healthy
Kerala’s tropical climate demands hydration! Water flushes away food particles and keeps gums happy.
Preventive Dental Care - your first line of defence
At Kamala Dental Hospital, we always say, “A stitch in time saves nine—and a checkup saves teeth!” Preventive care is the cornerstone of senior dental care in Trivandrum, especially as ageing makes teeth and gums more vulnerable. Here’s how we help you stay ahead.
- Bi-Annual Checkups: Think of these as “smile hacks.” During these visits, Dr. Segin Chandran and our team look for early signs of cavities, gum disease, or oral cancer. Catching issues early means simpler, cheaper treatments.
- Professional Cleanings: Even the most diligent brushers miss plaque in hard-to-reach spots. Our gentle cleanings remove tartar buildup, thereby reducing the risk of gum disease.
- Personalised Advice: Dry mouth? Sensitive teeth? We’ll suggest products, such as fluoride gels or soft brushes, tailored to your specific needs.

Did you know? Over 60% of seniors in Kerala skip regular checkups due to cost or anxiety. That’s why we offer affordable dental care in Trivandrum with flexible payment plans and a zero-judgment environment. Hands down, we’re your “dental checkups for seniors near me” solution!
Advanced Solution for Age-Related Dental Issues
Ageing doesn’t mean settling for a compromised smile. At Kamala Dental Hospital, we combine cutting-edge technology with Dr. Segin Chandran’s 26+ years of expertise to tackle even the most complex senior dental challenges.
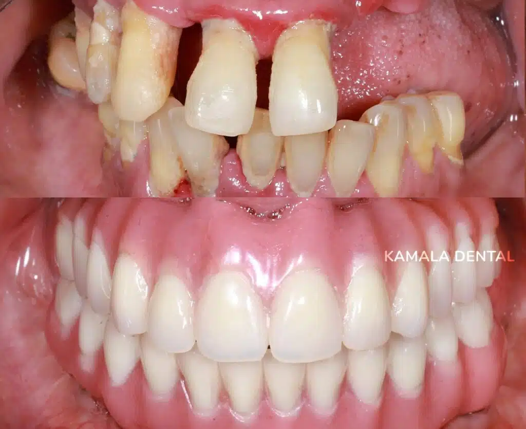
- Pain-Free Dental Implants: Missing teeth? Our implants mimic natural roots, preventing bone loss and restoring chewing power. Dr. Segin’s precision ensures minimal discomfort—most patients return to eating their preferred food in a short time.
- Denture Makeovers: Ill-fitting dentures causing sores? Our digital scans create snug, comfortable replacements. We even offer same-day repairs.
- Dry Mouth Relief: Beyond sugar-free lozenges, we prescribe saliva-stimulating gels and review medications causing dryness
- Laser Gum Treatments: Say goodbye to gum disease with our bloodless, stitch-free laser therapy.

We’re proud to be Trivandrum’s leading provider of dentures and implants for seniors in Trivandrum, combining Kerala’s warmth with world-class care. After all, you deserve to enjoy your golden years without hiding your smile!
Why Choose Kamala Dental for Geriatric Care in Thiruvananthapuram?
1. Meet Your Smile’s Best Friend

With over 26 years of experience, Dr. Segin combines expertise with empathy. From complex implants to routine cleanings, he’s Trivandrum’s go-to specialist in geriatric dental care.
2. Technology That Cares
At Kamala Dental Hospital, we use state-of-the-art technology like pain-free lasers, digital scans, and premium implants for stress-free treatments. This ensures that you receive the best care possible, tailored to your unique needs.
3. Personalised, Compassionate Care
At Kamala Dental Hospital, we believe in personalized, compassionate care. We don't rush appointments; instead, we take the time to listen to your concerns and tailor solutions to your lifestyle. Your smile is unique, and we treat it as such.
Your Smile Deserves The Best
At Kamala Dental Hospital, we’re honoured to be Trivandrum’s trusted partner in senior dental care. Whether you need a checkup, implants, or advice on denture care, Dr. Segin and our team are here for you. Don’t let age dim your smile—let’s keep it radiant for years to come!
Visit us at Kamala Dental Hospital, or call +91 95260 66001. Your journey to a healthier smile starts today!























