
If you’ve been dealing with the discomfort of missing teeth or ill-fitting dentures, the relief and comfort that dental implants can bring might just be the solution you've been looking for. At Kamala Dental Hospital, we believe in helping you smile with confidence again. In this blog, we’ll walk you through everything you need to know about dental implants—right from what they are to how we make the process easy and comfortable at our clinic in Trivandrum.
What Are Dental Implants?

Dental implants are artificial tooth roots, usually made of titanium, that are surgically placed into your jawbone. Once healed, a crown is fixed on top, making it look and function like a real tooth. Unlike dentures or bridges, implants are permanent, stable, and feel just like your natural teeth, giving you a confident and self-assured smile.
Who Needs Dental Implants?

You might be an ideal candidate for dental implants if you:
- Have one or more missing teeth
- Struggles with loose or ill-fitting dentures
- Want a long-term, reliable solution
- Have healthy gums and sufficient jawbone density
At Kamala Dental Hospital, we’ll conduct a thorough consultation to assess your eligibility and recommend the most suitable treatment plan for you.
Top Benefits of Dental Implants
Choosing dental implants comes with a host of benefits:
- They look and feel like your natural teeth
- Improve chewing and speaking ability
- Help maintain bone health and facial structure
- Don’t slip or shift like dentures
- Offer a lifetime solution with proper care
Our patients in Trivandrum often tell us how implants have changed their lives for the better. It’s a game-changer. Both functionally and aesthetically.
Our Dental Implant Procedure at Kamala Dental Hospital
We follow a step-by-step approach to ensure every implant is placed with precision and care:
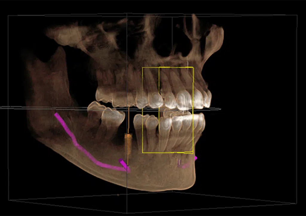
- Consultation and Scanning: We begin with a detailed examination, which may include X-rays or 3D scans.
- Implant Placement: The titanium post is surgically inserted into your jawbone.
- Healing and Integration: Over several months, the implant bonds with the bone in a process called osseointegration.
- Crown Placement: Once the area has healed, we place a custom-made crown that matches your natural teeth.
The entire process is done in a sterile, comfortable, and technologically advanced setting under the guidance of Dr. Segin Chandran, our Chief Surgeon. With over 26 years of experience in dental surgery, Dr. Segin Chandran ensures each patient receives personalised and top-tier care.
Affordable Dental Implants in Trivandrum: What’s the Cost?
We often get asked: What is the cost of dental implants in Trivandrum? The answer depends on several factors:
- Number of implants required
- Bone grafting or additional procedures
- Type of crown material
- Overall oral health
At Kamala Dental Hospital, we offer affordable dental implants in Trivandrum without compromising on quality. Rest assured, our team will walk you through a transparent cost breakdown.
Taking Care of Your Dental Implants
Once your dental implants are in place, taking care of them is crucial to ensure they last a lifetime. The good news is that maintaining dental implants is quite similar to caring for your natural teeth. Regular brushing twice a day, using a soft-bristled toothbrush and non-abrasive toothpaste, is essential. Flossing daily helps remove any food particles or plaque build-up around the implant area, keeping your gums healthy.
We also advise our patients to avoid smoking, as it can interfere with the healing process and compromise the long-term success of the implant. During the initial healing period, avoid consuming very hard, sticky, or overly crunchy foods that can put pressure on the new implants. Once healed, you can enjoy most of your favourite foods comfortably.
Just like with natural teeth, regular check-ups are essential. Visiting Kamala Dental Hospital every six months enables us to monitor your implants, gums, and surrounding teeth, ensuring they remain in excellent condition. If you ever experience any discomfort or notice unusual changes, don’t wait—come see us right away.
Dental implants are a long-term investment in your oral health, and with the proper care, they can serve you well for decades. And don’t worry—we’re always here to guide you with the best implant maintenance practices.
Common Questions About Dental Implants Answered

1. Is the procedure painful?
Not at all. We ensure a nearly painless experience with the use of local anaesthesia and sedation options.
2. How long does the process take?
From consultation to crown placement, the process can take 3 to 6 months, depending on the individual's healing time.
3. Are dental implants safe?
Absolutely. With a high success rate and widespread trust, implants are a safe and reliable solution.
4. Can older adults get implants?
Yes! Age is not a barrier as long as you're healthy and have good bone density.
5. Will people notice I have an implant?
Not at all. The crown is designed to blend in seamlessly with your natural teeth.
Why Choose Kamala Dental Implant Services in Trivandrum?

We’re not just another dental clinic. We are a trusted name in Trivandrum for all kinds of dental care, especially implants. Here’s what sets us apart:
- Led by Dr. Segin Chandran – a multifaceted dental and surgical specialist with 26+ years of experience
- Best dental clinic for implants in Trivandrum, known for precision and patient comfort
- Advanced digital diagnostics and digitally planned implant placement.
- Transparent pricing and personalised treatment plans
- Warm, caring staff that puts you at ease
We’ve helped hundreds regain their smiles and confidence. Let us help you, too.
Book Your Consultation Today
Ready to restore your smile? Schedule a consultation with our team at Kamala Dental Hospital in Trivandrum. We’ll answer all your questions, assess your dental health, and create a personalised treatment plan tailored to your needs.
Call us or visit our clinic today—because you deserve the best version of your smile.






















