
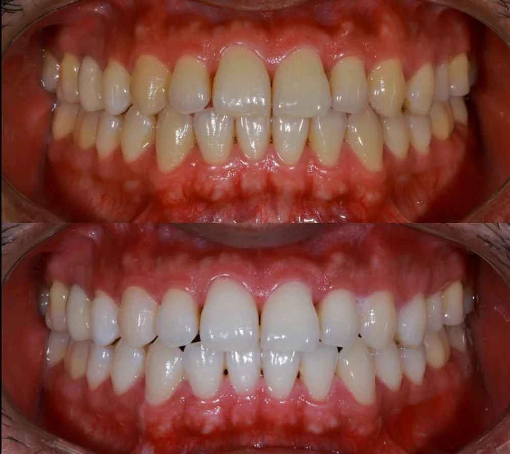
Kamala Dental Specialty Hospital helps your teeth to be whiter, shinier and gives that perfect dazzling smile! Try out our Zoom whitening protocol that is patient number one requested whitening treatment, assuring you will walk out with a confident and a sparkling smile. Zoom In-office Whitening gives you a 45 minutes session with three cycles of 15 minutes interval. With an advanced technology, Zoom light (chair side lamp) activates 25 percent hydrogen peroxide and carbamide peroxide, key ingredients of whitening. You will witness genuine and immediate results of color change from darkest yellow shades to varying lighter shades. Patient’s response to whitening will vary due to habits and tooth structure. It’s safe, effective, long lasting and done under a professional with utmost care and expertise. The whitening kit comes with two desensitizing agents potassium nitrate and amorphous calcium phosphate that reduces sensitivity, protects enamel and helps improve the texture of the teeth.
Get your teeth examined and assess the shade prior to our whitening treatment. If you are a person who has a good oral health, and has predominant stains from smoking, tea or coffee, red wines – let’s get your teeth whiter!
The world looks brighter from behind a smile! So let’s give you that sparkling pearly whites and confidence to outshine.

Equipment used: Philips Zoom Whitespeed



















